Лечение корневых каналов
Внутри зуба располагается полость, состоящая из так называемой пульповой камеры и корневого канала. Это то, что в народе называют «зубным нервом». Отчасти это правда, т.к. в пульповую камеру через специальное отверстие в верхушке зуба проходят артерии – для доставки необходимых веществ, лимфатические сосуды и нервы – для иннервации зуба.
В здоровом состоянии зуба, пульпу защищает эмаль и дентин – более плотные ткани зуба. При поражении кариесом этих тканей и несвоевременном обращение к врачу происходит попадание бактерий в пульпу и начинается воспалительный процесс в каналах зуба. Сопровождается это повышенной чувствительностью к горячему и холодному и зубной болью. В этом случае показано лечение корневых каналов.

"Анатомия зуба" 1 - эмаль; 2 - дентин; 3 - пульпа зуба
ВОСПАЛЕНИЕ ПУЛЬПОВОЙ КАМЕРЫ
Достаточно опасным процессом является воспаление пульпы, так как может повлечь неприятные последствия как образованиям в костных тканях и воспаление десны. В редких, но тяжелых случаях, требуется хирургическая операция челюсти в области пораженного зуба.
ПОКАЗАНИЯ К ЛЕЧЕНИЮ КОРНЕВЫХ КАНАЛОВ
Лечение корневых каналов проводится в следующих случаях:
- воспаление пульпы зуба;
- повышенная чувствительность зуба к холодному, горячему, механическим нагрузкам;
- распухание десны и/или изменение ее цвета вокруг зуба;
- появление на деснах образований, напоминающих прыщи, постоянных или периодических;
- боль в десне в области зуба;
- повреждение зуба в результате несчастного случая.

ПРОЦЕДУРА ЛЕЧЕНИЕ КОРНЕВЫХ КАНАЛОВ
1. Удаляется воспаленная ткань пульпы («нерв»). В таком состоянии она представляет опасность как место размножения болезнетворных бактерий. 2. В корневой канал плотно вводится пломбирующий материал, который герметично закрывает канал.

ПОСЛЕДОВАТЕЛЬНОСТЬ ЛЕЧЕНИЯ КОРНЕВЫХ КАНАЛОВ
Перед началом лечения канала применяется местная анестезия, т.к. очистка канала от воспаленных тканей пульпы может вызвать острую боль из-за наличия в пульпе нервных окончаний.

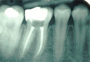
Доступ к пульповой камере врач-стоматолог получает, удалив ткани дентина, пораженные кариесом. Далее, специальными инструментами для обработки каналов, происходит очистка корневого канала от пораженной ткани пульпы. Дезинфицирующими растворами обрабатываются стенки канала для удаления оставшихся микробов и предотвращения дальнейшего роста инфекции. На протяжении всего процесса лечения проводятся рентгенологическая диагностика хода лечения и состояния канала до и после лечения. Высушив канал от растворов, доктор проводит заполнение канала пломбировочным материалом – гуттаперчевыми штифтами, которые при нагревании заполняют все полости и микропоры.

ВОССТАНОВЛЕНИЕ ЗУБОВ
Дальнейшее восстановление коронковой части зуба зависит от степени поражения кариесом дентина. Если поражено меньше трети площади коронки – восстанавливают пломбой. Если до двух третьих – керамическими вкладками и анкерными штифтами. Более двух третьих площади коронки восстанавливаются культевыми штифтовыми вкладками и искусственной коронкой – металлокерамической, безметалловой керамикой или др.

|
Здесь Вы можете записаться на прием к стоматологу и получить скидку в размере 10%. Ежедневно с 9:00 до 21:00 без выходных Тел: 969-87-01, 642-32-20 |