Эстетические композитные реставрации
КОМПОЗИТНЫЙ МАТЕРИАЛ
Композитные материалы стали сегодня основными материалами для клинической и эстетической стоматологии. С помощью таких материалов можно придать эстетичный вид зубам, пораженным кариесом. Также они помогают скрыть недостатки формы передних зубов, в том числе уменьшить или полностью убрать большие промежутки (диастемы) между передними зубами, а также изменить цвет зубов. Эстетическая стоматология применяется для восстановления, как передних, так и задних, обычно не видимых зубов.
Ниже приведены несколько примеров композитных реставраций.
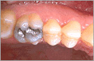
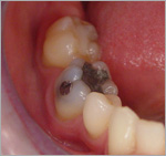
- Неприглядная "черная" пломба из амальгамы на коренном зубе. Необходимо установить на место некрасивой металлической пломбы современную из композитного материала.
- Изоляция рабочего поля коффердамом.
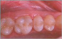
- Вид после удаления старой пломбы.
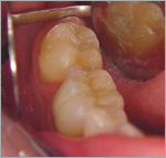
- Вид после готовой реставрации.
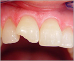
![]() Скол переднего зуба. |
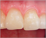
![]() Восстановление скола композитной реставрацией. |
1. Неприглядная "черная" пломба из амальгамы на коренном зубе. Необходимо установить на место некрасивой металлической пломбы современную из композитного материала.

2. Изоляция рабочего поля коффердамом.

3. Вид после удаления старой пломбы.

4. Вид после готовой реставрации.

ЗАМЕНА СТАРЫХ ПЛОМБ КОМПОЗИТНЫМИ ВКЛАДКАМИ

Почему это важно?
- Амальгамовые (металлические) пломбы не выглядят эстетично.
- Амальгамовые пломбы не обеспечивают герметичности. На стыке пломба-зуб всегда идет разгерметизация пломбы. Хорошего краевого прилегания у амальгамовых пломб не бывает. Поэтому под амальгамовыми пломбами неизбежен вторичный кариес.
- Амальгамовыми пломбами невозможно зубу придать анатомическую форму.
- Композитные пломбы плотно прилегают к поверхности зуба.
- Высокоэстетичные.
- Композитные пломбы дают возможность сформировать зуб в соответствии с его правильной анатомией.
Ниже дан наглядный результат установки композитной пломбы взамен амальгамовой. Амальгамовая пломба не отвечает современным стандартам внешности человека. Композитная пломба заменила амальгамовую.

|
Здесь Вы можете записаться на прием к стоматологу и получить скидку в размере 10%. Ежедневно с 9:00 до 21:00 без выходных Тел: 969-87-01, 642-32-20 |

