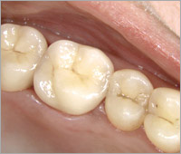
Керамические коронки на оксиде Циркония

ОКСИД ЦИРКОНИЯ КАК МАТЕРИАЛ
Оксид циркония – это достаточно новый керамический материал. Его прочностные свойства не уступают металлам. Доказано, что этот оксид является самым биосовметимым с тканями человеческого организма настолько, что из этого материала даже делают имплантаты для зубов. Одновременно с этим он приятного белого цвета и является эстетичным для изготовления коронок зубов.

ИЗГОТОВЛЕНИЯ КОРОНОК ИЗ ОКСИДА ЦИРКОНИЯ
Изготовление коронки происходит в два этапа. На первом из оксида циркония изготавливается каркас коронки, оттенок каркаса подбирается по цвету зуба. На втором этапе каркас покрывается керамической массой. Каркас коронки изготавливается с чрезвычайно высокой точностью благодаря применению компьютерного управления процессом фрезерования. Прочность каркаса достигает 600 MПа, он в полтора раза прочнее стандартных керамических коронок.
Высокая прочность циркониевой керамики позволяет изготавливать из нее мостовидные протезы протяженностью в три зуба. Высокая эстетичность, прочность и биосовместимость оксида циркония делает его идеальным материалом для протезирования передних зубов.
ДОСТОИНСТВА КОРОНОК ИЗ ОКСИДА ЦИРКОНИЯ:
- Оптимальная имитация оттенка натуральных зубов.
- Благодаря исключительной прочности циркониевые коронки долговечны.
- Высокая стабильность цвета и формы поверхности коронки.

|
Здесь Вы можете записаться на прием к стоматологу и получить скидку в размере 10%. Ежедневно с 9:00 до 21:00 без выходных Тел: 969-87-01, 642-32-20 |