Зубные имплантаты, имплантация зубов
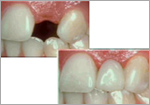
Начнем с того что такое имплантация зубов . Восстановление отсутствующего по каким-либо причинам зуба может проходить различными путями - металлокерамическим мостом, съемным или бюгельным протезом. Но существует вариант избавления соседних зубов от препарирования, избавления от съемных неудобных протезов. Восстановление утраченного зуба при помощи имплантации зубов самый лучший вариант, при котором сохраняются соседние зубы, а коронка настолько похожа на натуральный зуб, что отличить очень тяжело.

Имплантат зуба состоит из двух частей: внутрикостной и коронковой. Сам имплантат устанавливается в кость и носит функцию корня зуба. Затем на него крепят абатмент, который будет являться культевой частью для последующей установки на него коронки. Внутрикостная часть – имплантат – достаточно прочно сидит в кости и обеспечивает первичную прочность конструкции. Абатмент крепится к имплантату при помощи винта и 3х, 4х или шестигранных соединений, что исключает вращения абатмента на имплантате вокруг своей оси. Коронка к абатменту может крепиться двумя способами – цементировкой и винтом.


ПРЕИМУЩЕСТВО ИМПЛАНТАЦИИ ЗУБОВ
Зубные имплантаты восстанавливают форму и функции отсутствующих зубов.
- Во время имплантации зуба соседние зубы остаются в целости и сохранности – никакого препарирования.
- При имплантации нескольких зубов избавляемся от необходимости бюгелей и частично съемных протезов.
- Имплантаты позволяют закрепить несъемные конструкции при полной утрате зубов.
- При помощи имплантатов можно закрепить существующие съемные протезы, что даст лучшую фиксацию, избавит от натираний и выпадений протеза.
- В месте установки имплантата процесс атрофии кости прекращается, так как жевательная нагрузка на кость приводит к увеличению кровоснабжения данного участка.
|
Здесь Вы можете записаться на прием к стоматологу и получить скидку в размере 10%. Ежедневно с 9:00 до 21:00 без выходных Тел: 969-87-01, 642-32-20 |