Коронки PROCERA

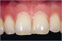
В основе системы PROCERAR AllCeram лежит использование алюминиевой керамики. Методом прессования изготавливается основная часть зубного протеза, что позволяет добиться очень высокой плотности керамики (до 99,5%) и прочности в 600 МПа. С помощью PROCERAR AllCeram можно изготавливать все зубные протезы (коронки, вкладки, накладки, виниры).
Достоинства протезов из PROCERAR AllCeram.
1. Полностью совместима с тканями зуба и рта, не приводит к неблагоприятным реакциям при любом сроке эксплуатации.

2. Благодаря полупрозрачной структуре коронки Procera хорошо имитируют натуральные зубы.
3. Отсутствует темная полоса у места стыка коронки с десной, которая иногда встречается у протезов на металлической основе.

|
Здесь Вы можете записаться на прием к стоматологу и получить скидку в размере 10%. Ежедневно с 9:00 до 21:00 без выходных Тел: 969-87-01, 642-32-20 |